
长春国文医院头颈食管放化疗科团队近日成功为一名伴有骨髓抑制、中度贫血、肺部真菌感染等多种危重并发症的脑肿瘤患者,实施了精准放疗及全程精细化管理,在复杂重症救治中实现了“控制病灶”与“功能恢复”的双重突破。

患者王阿姨,66岁,确诊脑肿瘤一月余。入院时,她不仅存在右侧基底节及脑干区巨大占位,伴有严重神经压迫,还合并多项并发症,身体状况极差,长期卧床,生活完全无法自理。面对这一复杂危重的病情,长春国文医院头颈食管放化疗科团队没有采取单一技术“单点突破”式治疗,而是迅速启动多维度综合评估,科学制定了个体化短疗程精准放疗方案,并同步开展全程精细化管理。
治疗过程中,团队依托3.0T头颅磁共振成像(MRI)精准定位,聚焦病灶区域实施精准放射治疗,最大限度保护正常脑组织,迅速解除神经压迫。同时,同步推进平喘、化痰、抗炎、抗真菌、输血纠正贫血等对症支持治疗,全程密切监测血常规、肝肾功能及电解质水平,确保治疗安全与患者耐受度。


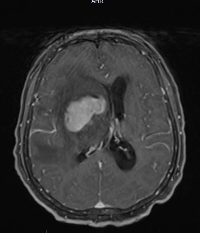
治疗前后病灶对比明显缩小
放疗进行至半程时,复查MRI显示:病灶及周围脑组织水肿范围明显缩小,中线结构完全复位。患者也从最初卧床无法活动,逐步实现搀扶站立,最终平稳独立行走。

“对于合并多种并发症的重症脑肿瘤患者,治疗的关键不在于单一技术的高精尖,而在于全流程管理的稳健与精准。”长春国文医院头颈食管放化疗科主任李金柱表示,“精准放疗为功能恢复创造了结构基础,精细化的对症支持与多学科协作,则是患者从卧床到独立行走的坚实保障。”
从卧床到行走,改变的不仅是患者身体功能的恢复,更重新点燃了一个家庭的生活希望。长春国文医院头颈食管放化疗科坚持精准医疗与全程管理并重,持续提升复杂重症诊疗能力,为更多重症患者在困境中开拓出可及的康复路径,助力他们回归正常生活。
来源:长春国文医院
深富策略提示:文章来自网络,不代表本站观点。